











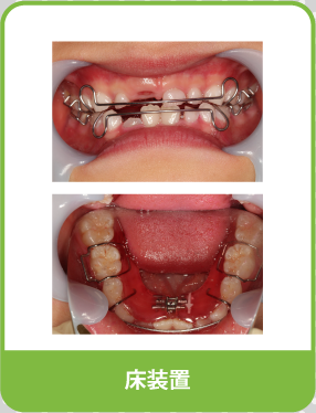
これまでの
一般的な矯正治療









など、矯正治療への
高いハードル
がありました。















インビザラインファーストは、主に小学生(乳歯と永久歯が混在している時期)のお子さまを対象とした、透明マウスピースを利用した矯正治療です。
「インビザラインシステム」を手掛けているアメリカのアライン・テクノロジー社によって開発され、世界中で圧倒的な実績数のある矯正治療方法です。
1枚のマウスピースで約 0.25mmずつ歯を移動させ、
2週間ごとにマウスピースを交換していくことで、理想の歯並びにしていきます。
治療は、口腔内スキャナー「iTero」で作成した3D データを 元に、細かいシミュレーションを繰り返しながら進めていきます。
また、治療前に「矯正後のイメージ」を確認できることも、大きな特徴です。





1
透明だから周りに気づかれない!
インビザライン ファーストで使用する矯正装置は、透明マウスピースで すので、矯正していることを周りに気づかれにくいことが大きな特徴です。
矯正治療の見た目のせいで「お友達から何か言われないか心配」というお母さまもご安心ください!



2
取り外しができるから、
むし歯リスクが少ない!!
マウスピースを取り外して、今まで通りに歯みがきをおこなうことができますので、大変衛生的です。
矯正装置のせいで歯みがきがしにくくなる、ということはありませんので、矯正によるお子さまのむし歯リスクはほぼありません。

3
従来の矯正治療より、
通院期間が約1/2
従来の矯正方法は3〜4年かけていましたが、インビザラインファースト なら1.5年~2年で完了することができます。
通院が苦手なお子さまでも安心です。また、親御さまの送迎の負担も少なくてすみます。



4
「iTero」があるから、
不快な歯型取りが不要!
歯型は、口腔内スキャナー「iTero」でスキャニングデータをとります。
不快な粘土のような歯型材料は使用しませんので、お子さまでも安心です。

5
今まで通り、
スポーツ・楽器演奏できる!
マウスピースをしたまま、スポーツや楽器演奏をしても、お口の中を傷つけることがありません。
習い事でスポーツや楽器演奏を始められているお子さまにも、ケガや痛みの心配がなく、安心です。



6
指しゃぶりなどの癖を改善できる!
インビザラインファーストの矯正治療をおこなうことで、お子さまの「指しゃぶり」や「舌の突出癖(安静時や飲食物を飲みこむ時に、 正常でない舌の動かし方をする癖)」などの、良くない習慣の改善をサポートします。
わかりやすい治療費用

一括払いと分割払いのふたつのお支払方法をご用意しています。

※保険は適用できません。
わかりやすい治療費用

※保険は適用できません。




01
圧倒的な実績があるからこそできる、精度の高い治療計画
「インビザライン」は既に世界 100カ国で、600万人を超える患者様が治療を受けており、圧倒的な実績があります。
世界中のビッグデータをもとに治療計画を作成しますので、精度の高い治療予測を立てることができます。

02
口腔内スキャナー「itero(アイテロ)」で「矯正後イメージ」の確認や「歯並びシュミレーション」が可能です!
口腔内スキャナー「itero(アイテロ)」でスキャンした 3D の歯型データを元に、治療開始から終了まで、独自のシステムで細かいシュミレーションを行いながら治療を進めていきます。
また、治療前に「矯正後のイメージ」を確認することができますので、安心して治療を開始することができます。
03
マウスピースの質が高いから、矯正力が持続します!
インビザライン以外の、他のマウスピース矯正では、マウスピースを継続して装着していくうちに、素材が伸びて「ゆるく」なってしまい、矯正する力が弱くなってくることがあります。
インビザラインファーストのマウスピースは素材の質が高いので、継続して使用しても矯正する力が持続します。

04
少しずつ(0.25mmずつ)移動させるため、痛みが少ない!
インビザライン ファーストは、1枚のマウスピースにつき0.25mm ずつ歯を動かし、2週間ごとに新しいマウスピースに交換することで、理想の歯並びに近づけていきます。
少しずつ歯列を整えていくため、痛みがほとんどありません。

05
保障が充実していて安心!
インビザラインファーストは、契約期間内なら追加費用なしで、何度でもマウスピースを作成することが可能です。
もちろん、破損した場合でも、無償で作成いたしますので、ご安心ください。







永久歯が生え始めて、生えそろうまでの、6才〜9才くらいの年齢のお子さまが対象です。
まだ乳歯が残っているこの時期に、顎の成長をコントロールし、永久歯が生えるスペースを整えていきます。










